CorDent
TRATAMIENTOS
 +info

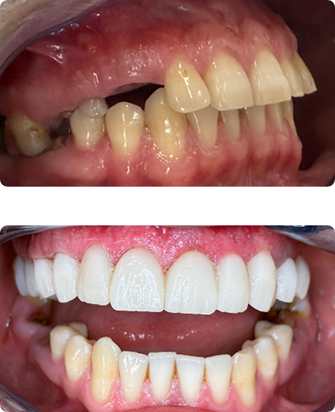
Profesionalidad y Responsabilidad en el cuidado de tus dientes

Seguridad y confianza en tus tratamientos Dentales

Equipamiento de

última Tecnología

Profesionales altamente

Capacitados

Queremos verte Sonreir...!!!
Pide Cita Whatsapp 600 397 714
Te Cuidaremos y te Sentiras como en tu casa ´
Queremos cuidar tu salud dental, por ello todos los años nos ponemos en contacto contigo y realizamos una revisión gratuita de tus dientes para asegurarnos que todo marcha bien. Nos esforzamos por realizar siempre una odontología no invasiva, por ello apostamos a la prevención y al cuidado de tu boca.
Clínica Dental CorDent Av De Los Almendros 5 1º F Benidorm - Alicante España
600 39 77 14
Clinica Dental CorDent
Aviso Legal
Política de cookies

 

www.cordent.es